Klinika
O nas
Galeria kliniki
Zespół medyczny lekarzy stomatologów
Zespół asystentek i higienistek stomatologicznych
Usługi
Leczenie stomatologiczne na raty 0%
All-On-4
Implantologia
Chirurgia stomatologiczna
Protetyka stomatologiczna
Periodontologia – choroby przyzębia
Leczenie kanałowe - endodoncja
Stomatologia zachowawcza
Licówki
Stomatologia dziecięca
Ortodoncja
Profilaktyka i higiena
Wybielane zębów
Znieczulenie ogólne
Tomografia Komputerowa
All-On-4
Implantologia
Galeria uśmiechów
Cennik
Kontakt
Wybierz język
Polski
Angielski
Niemiecki
Ukraiński
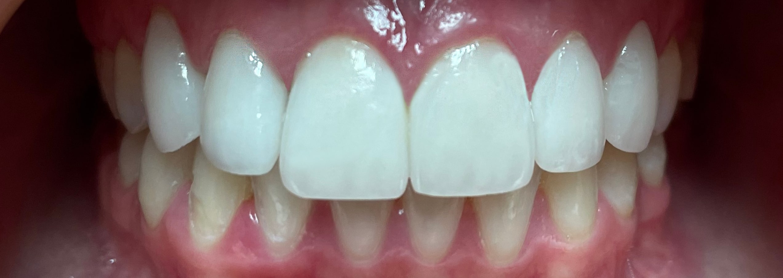
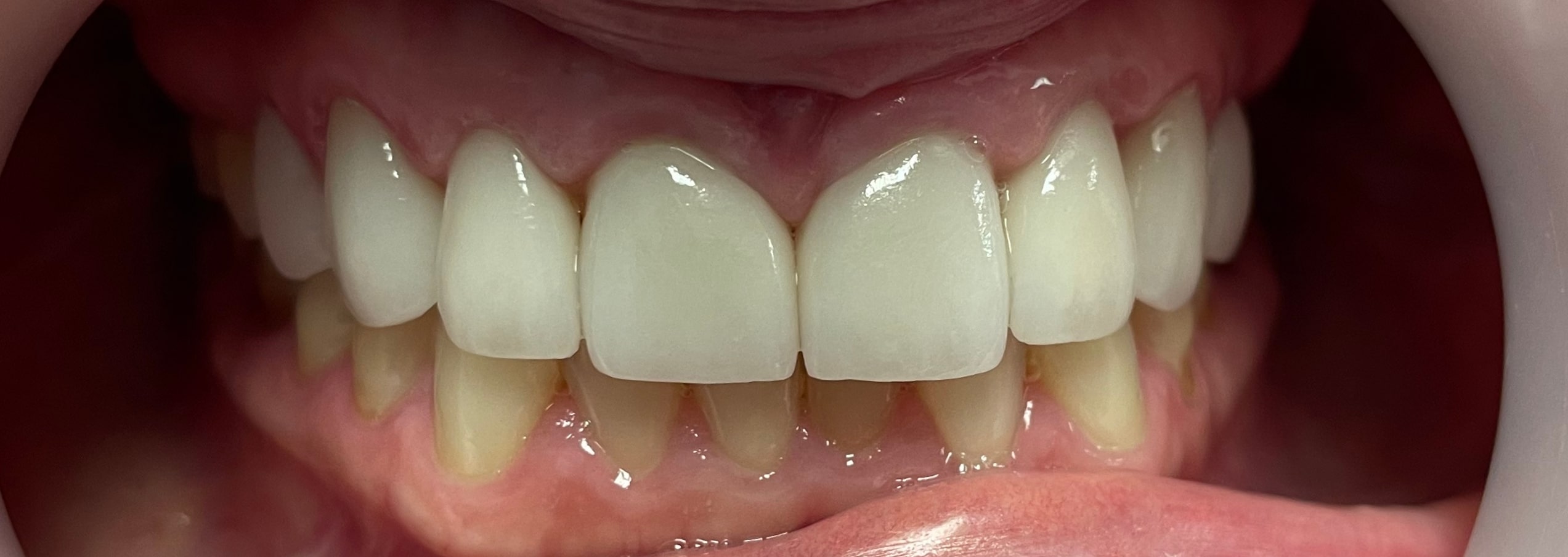
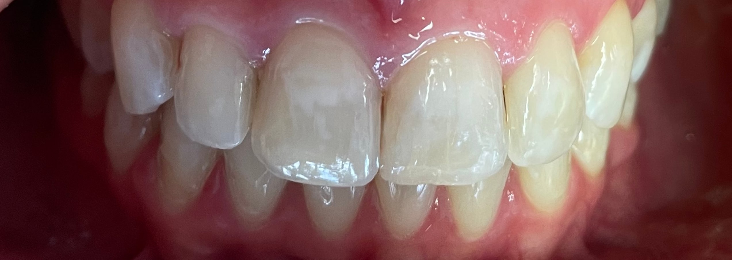
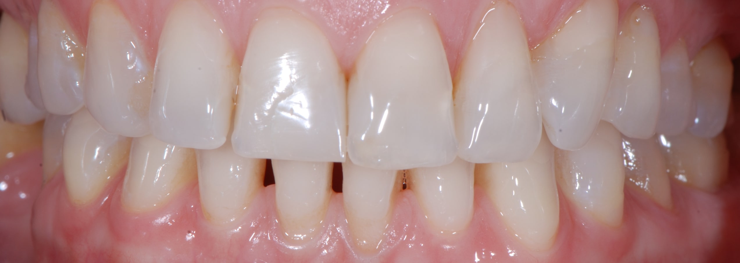
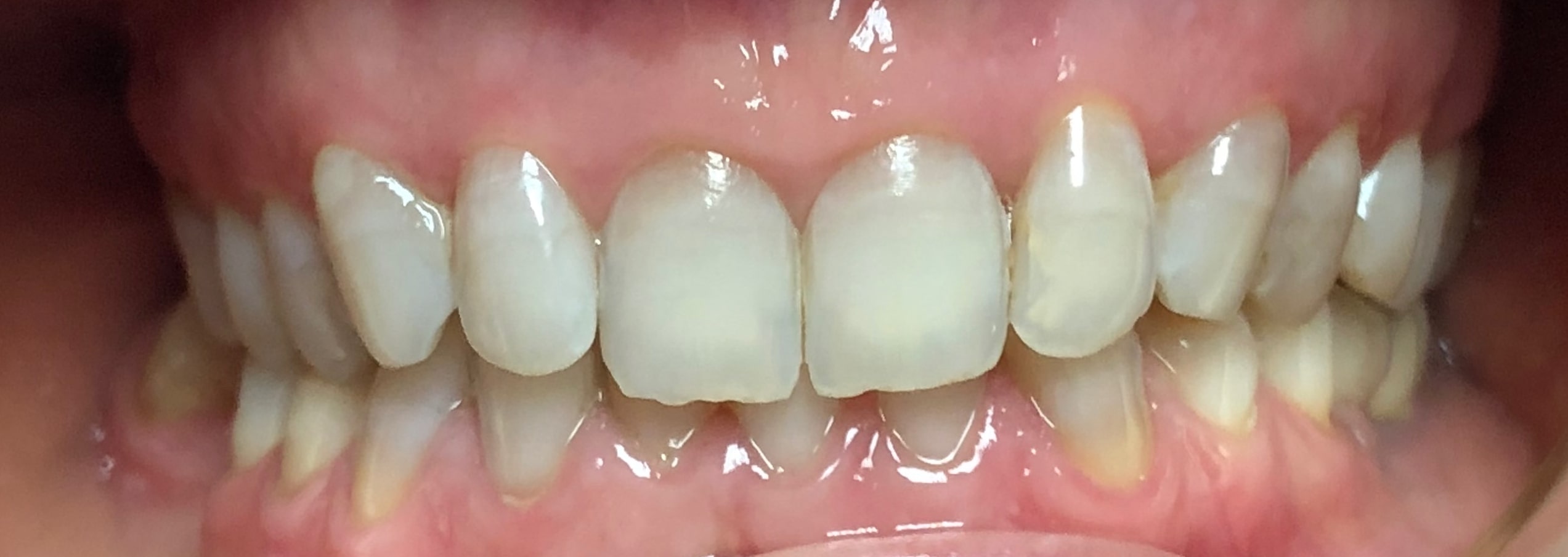
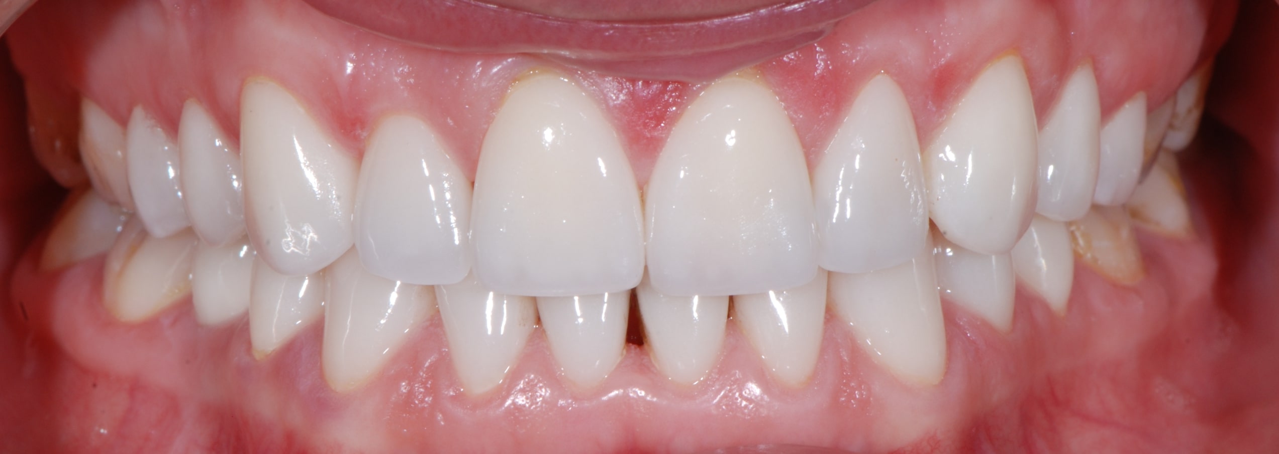
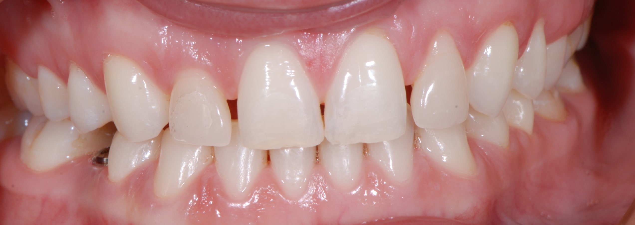
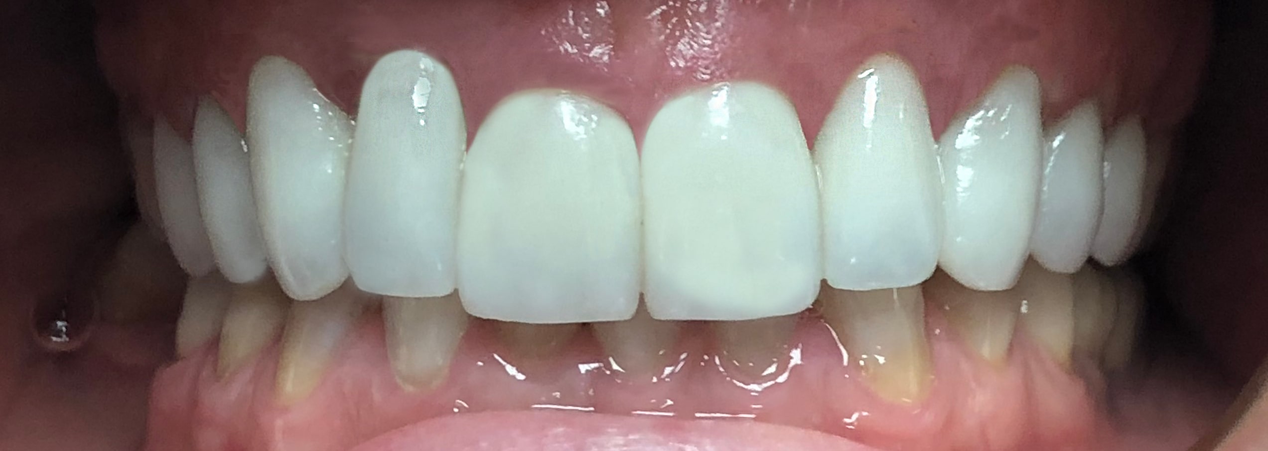
Galeria - Licówki
Galeria uśmiechów
Licówki
Poprawiamy estetykę i komfort życia naszym pacjentom dzięki licówkom wykonywanym w naszej klinice.
Dowiedz się więcej na temat licówek
Zobacz szczegóły