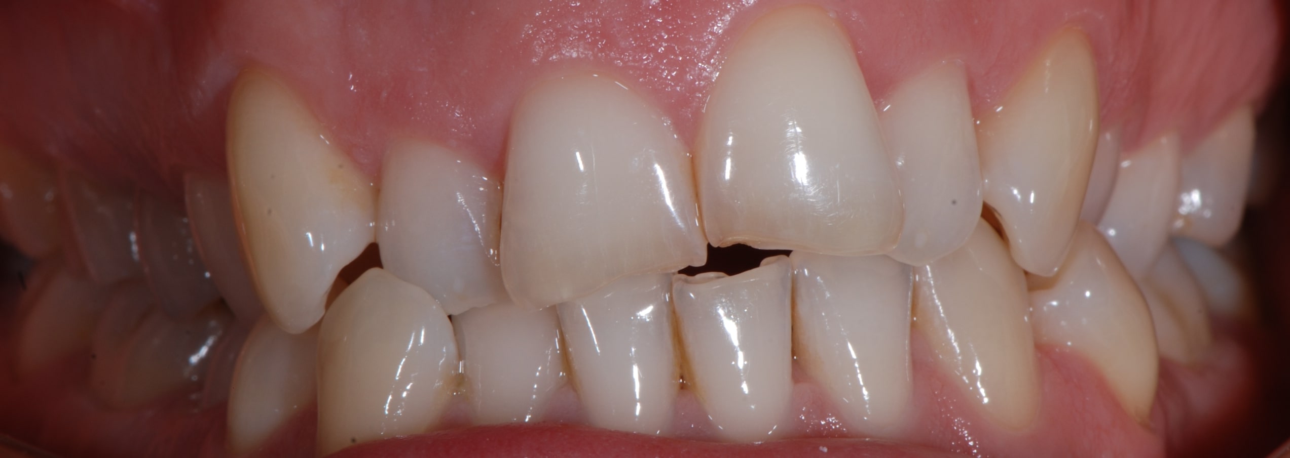
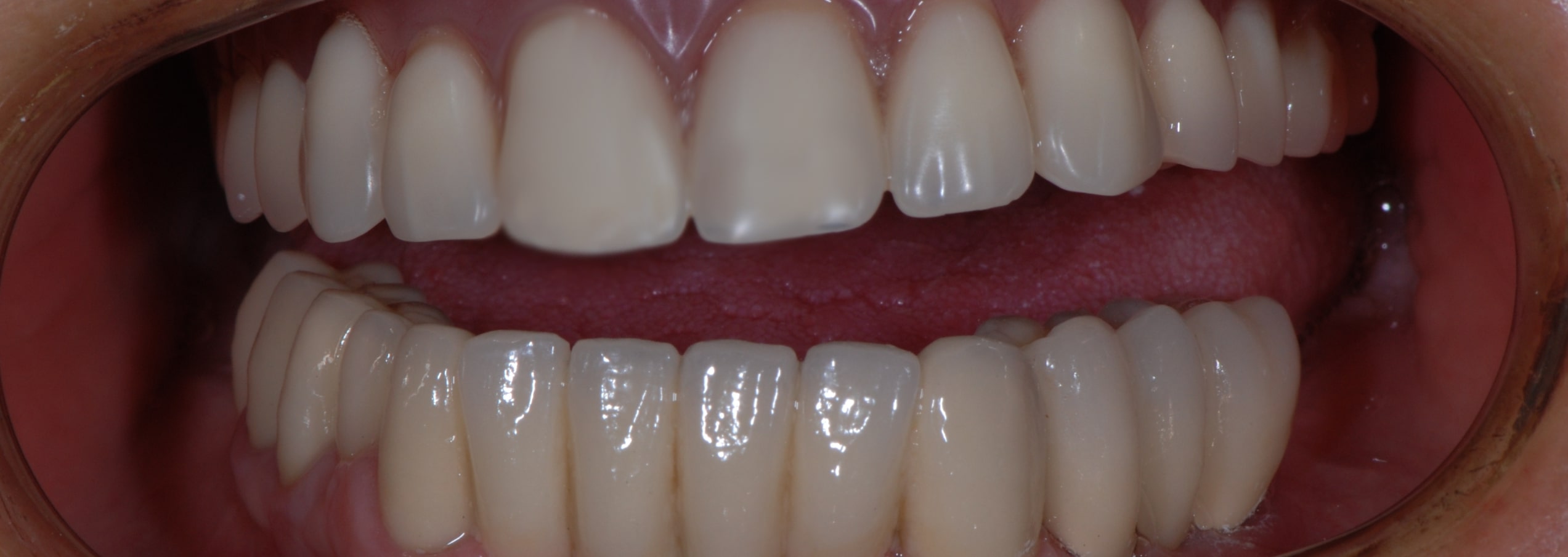
Pani Magda zgłosiła się do Prodenta Clinic z wieloma problemami.
Miała wykonane wiele lat temu nieestetyczne już oraz nieszczelne korony, a dodatkowo posiadała wadę zgryzu.
Wspólnie zdecydowaliśmy, że przeprowadzimy leczenie interdyscyplinarne, w którym rozpoczęliśmy od leczenia ortodontycznego, leczenia kanałowego zębów, które tego wymagały, leczenia implantologicznego, czyli wszczepienia implantów oraz na koniec wykonaliśmy u pacjentki korony na podbudowie z tlenku cyrkonu.

Przed

Widoczna zmiana profilu twarzy po leczeniu
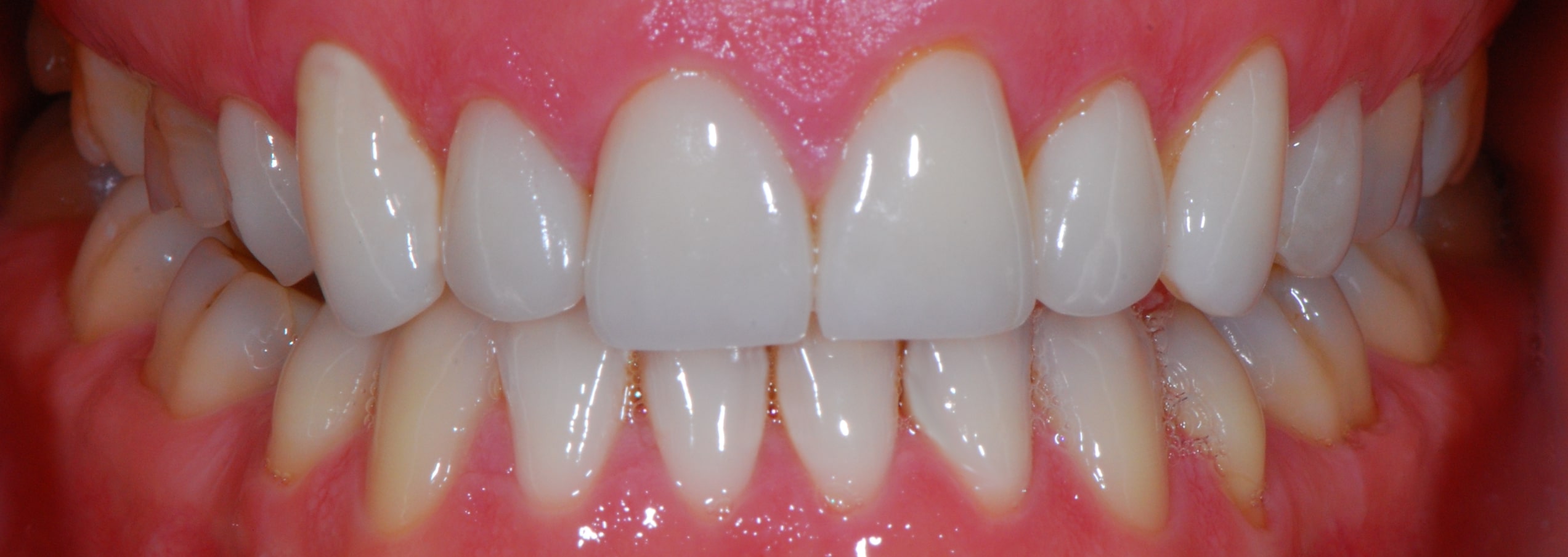
W pierwszym etapie skorygowaliśmy wadę zgryzu pacjentki dzięki leczeniu ortodontycznemu, co było niezbędne dla dalszej metamorfozy. Następnie za pomocą licówek porcelanowych uzyskaliśmy efekt, na którym zależało naszej pacjentce.

Przed

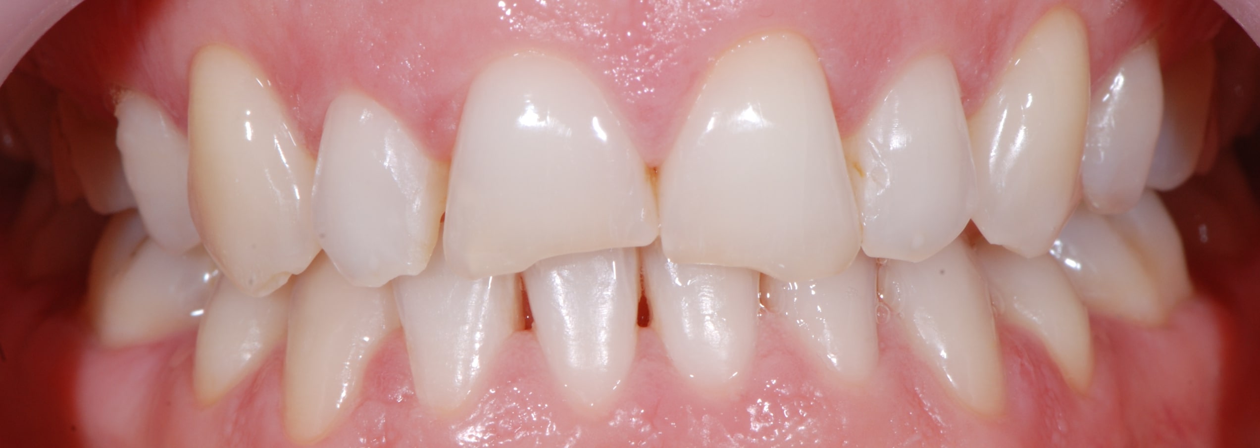
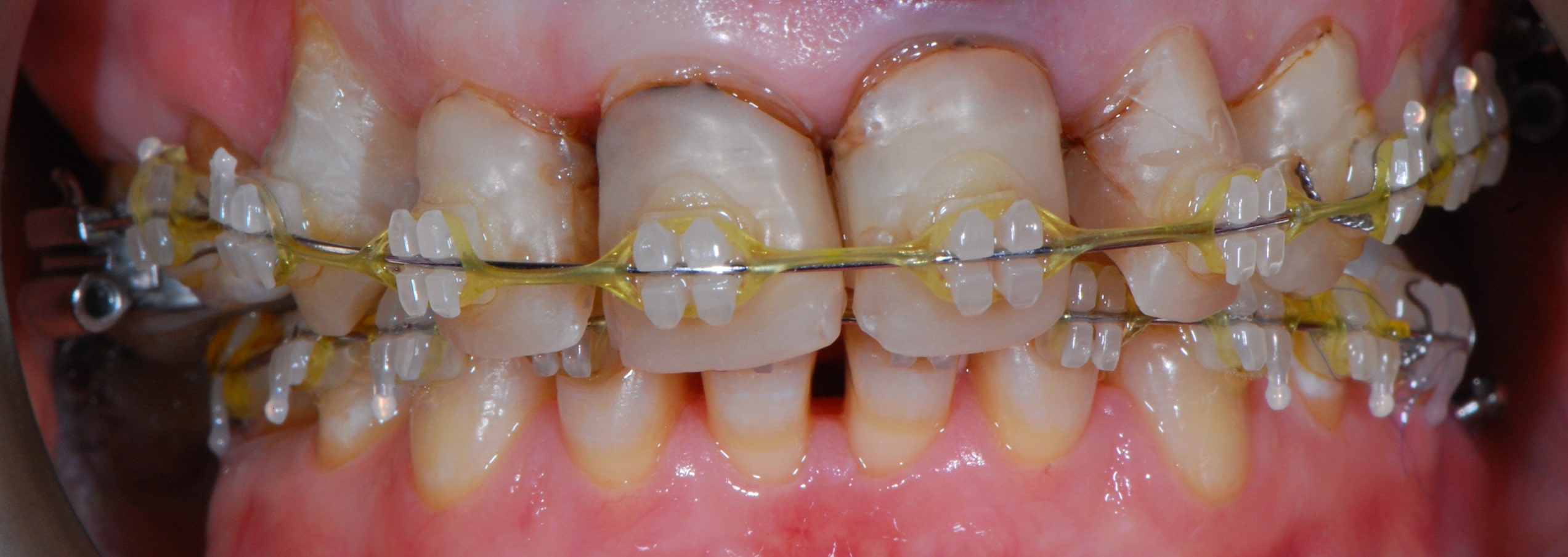
W trakcie leczenia ortodontycznego

Efekt po leczeniu ortodontycznym

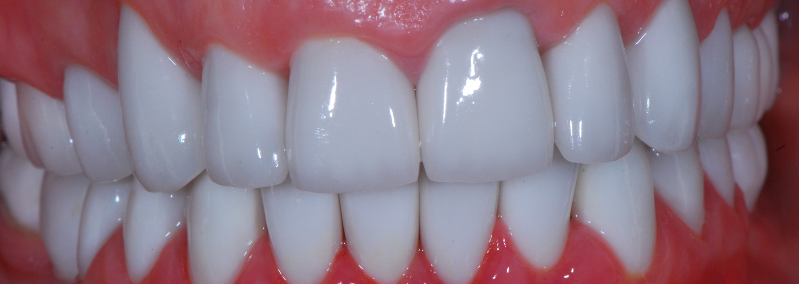
Finalny efekt po zastosowaniu licówek
Metamorfozę uśmiechu podzieliliśmy na dwa etapy - łuk górny i łuk dolny. W łuku górnym zastosowaliśmy metodę leczenia All-on-4 “zęby w jeden dzień”, dzięki czemu uzyskaliśmy niewiarygodny efekt w bardzo krótkim czasie. W łuku dolnym natomiast zastosowaliśmy korony i mosty na implantach na podbudowie z tlenku cyrkonu.